Zâmbetul perfect al celui mic începe de la primul consult ortodontic! Potrivit specialiștilor de la City Center Dental & Orthodontics Clinique, prima vizită la medicul specialist ortodont ar trebui să fie făcută la 7 ani, pentru a putea preveni problemele dentare severe ce se pot dezvolta mai târziu.
Tratamentul interceptiv ortodontic sau Faza 1 oferă posibilitatea ortodontului să dețină controlul pentru a corecta probleme dentare de spațiu, probleme de ocluzie (mușcătură), lucrând cu maxilare care sunt încă în creștere.
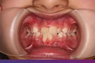
Potrivit specialiștilor, în jurul vârstei de 7 ani se pot identifica probleme de spațiu, probleme scheletice, precum și o serie de alte probleme, precum:
- Angrenaj invers
- Înghesuiri
- Ocluzie deschisă
- Ocluzie inversă/mușcătură inversă
- Spațieri
- Prodenție





Unele probleme ortodontice sunt mult mai ușor de corectat în dentiția temporară sau mixtă.
Pentru a preveni sau trata astfel de probleme, este necesar ca cel mic să vină la medicul specialist ortodont.
În urma consultului inițial se poate afla dacă micul pacient este potrivit pentru tratamentul interceptiv ortodontic sau nu. Acest tip de tratament are o serie de beneficii, precum:
- influența favorabilă a creșterii maxilarelor
- armonizarea lățimii arcadelor
- scăderea riscului de traumă pentru incisivii în protruzie
- corectarea obiceiurilor vicioase: sugerea degetului, limbii, mușcarea buzelor
- simplificarea și scurtarea tratamentului ortodontic în dentiția definitivă
- realizarea ghidajului anterior corect
- scade riscul de dinți incluși
- îmbunătățirea problemelor de vorbire
- păstrarea sau câștigarea spațiului pentru dinții permanenți
- stabilizarea condilului în poziția corectă.
În concluzie, tratamentul interceptiv ortodontic este cel care restabilește zâmbetul celor mici și contribuie la păstrarea sănătății dentare în ceea ce îl privește pe cel mic.
În plus, este un tratament nedureros, care aduce numai beneficii.
City Center Dental Clinique & Orthodontics este conceput pentru a-ți oferi tratamente ortodontice eficiente, într-o atmosferă calmă și relaxantă.
Am amenajat acest spațiu atent, după standarde europene, pentru a corespunde exigențelor oricărui pacient.
City Center Orthodontics, locul unde zâmbetul tău își recapătă perfectiunea, sub atenta grijă a specialiștilor noștri!